服务咨询热线

010-53552177

当前位置: 整形医院 > 上海康贝佳口腔门诊部 > 矫正地包天要多少钱?

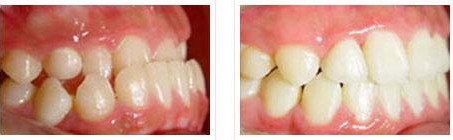
矫正地包天要多少钱? 发布日期:2015-08-01 14:16 点击次数:50

矫正地包天的费用,就像是得了一场感冒一样,一样有重轻之分,中西医疗法之分,费用便有所不同。。所以矫正地包天的费用通常要在患者牙齿情况确诊清楚,在患者清楚明白矫正方案,再综合各方面因素而产生。矫正地包天要多少钱?

牙齿矫正价格要看矫正者的年龄和牙齿畸形程度,如果是孩子,比较好整,可能稍微比成年便宜一些吧,如果已经成年了,一般牙齿矫正价格高一点,但也要视情况而定。

影响价格因素的基本情况。

1、地包天矫正的方法:地包天矫正的方法有普通矫正、隐形矫正、美容冠技术,患者选择的方法不同其治疗费用也相应有所不同。有些地包天是轻微的,矫正时间和矫正方法都不一样。价格也会不同。有些轻微的地包天甚至是不需要做矫正的,因为没有影响到面子问题。

2、地域性差异:由于不同地区经济发展程度不同,消费水平也不一样,因此,地包天矫正费用也就存在差异。

3、诊疗医师:诊疗医生不仅要精通口腔的治疗,也要有较强的审美理念,当然,还有赖于临床医师专业的修复理论支撑,规范的操作,正确的设计以及与技师的密切配合等。如果是隐适美隐形矫正,还需要获得隐适美专业认证资格。

4、患者的口腔情况:包括有无龋齿、牙周病等一些口腔疾病,地包天矫正的前期治疗包括检查、拍X光片、设计、分牙、粘托槽,有的可能需要拔牙。拔牙矫正是很正常的一项诊疗措施,拔牙一般是腾出空间,为了更好的效果。

扫一扫,加我微信

扫一扫,加我微信

全国服务热线:

13260092855

工作时间:7*24小时不休

河南驻容网络科技有限公司

驻容网络版权所有,保留一切权利 © 2013-2026

京ICP备15002463号-1