服务咨询热线

当前位置: 整形医院 > 莆田雅美佳口腔医院 > 牙齿矫正的费用要多少

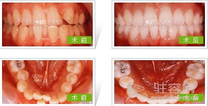
牙齿矫正的费用要多少 发布日期:2015-09-16 09:11 点击次数:87

现如今,在我们平时的生活中,大家越来越注重自己的外表,尤其是对于自己的牙齿,有些朋友甚至因为自己的牙齿问题产生严重的自卑心态,随着我国科技的不断进步,我国医疗技术水平也在突飞猛进的发展,越来越多的朋友开始采取牙齿矫正的办法来帮助自己来治疗错愕畸形等问题。那么,牙齿矫正的费用要多少呢?

雅美佳口腔专家介绍,牙齿矫正因为每个人牙齿畸形情况不同,矫正牙齿的治疗难易程度不同,因此牙齿矫正费用也是不同的。牙齿矫正要多久?

牙齿矫正包括检查、拍x光片,设计、分牙、粘托槽,有的可能需要拔牙。牙齿矫正一般需要大概一年半到两年左右的时间,牙齿矫正治疗期间需要复诊,所以做牙齿矫正费用也有很大的不同。牙齿畸形错乱程度轻微一些的,难度就会小一些,牙齿矫正费用也会相对低一些,牙齿错乱畸形越严重,牙齿矫正就会越麻烦,那么牙齿矫正费用就会稍高。牙齿矫正拔牙的原因?

雅美佳实施开放式和封闭式病房相结合的管理模式。使病房环境向家庭式转化,为患者营造一个宽松舒适的治疗空间。让您尊享安全美齿的尖端体验。雅美佳拥有技术超群的口腔专家诊疗团队,以先进科技为手段,专注于口腔事业。并有医学美牙设计专家为每一位牙齿美容顾客量身设计符和医疗美学标准的美牙方案,让每一颗牙齿都像艺术品一样宛若天成、坚固耐用。雅美佳做矫正多少钱?

扫一扫,加我微信

扫一扫,加我微信

全国服务热线:

13260092855

工作时间:7*24小时不休

河南驻容网络科技有限公司

驻容网络版权所有,保留一切权利 © 2013-2026

京ICP备15002463号-1